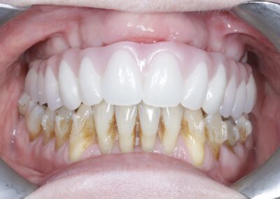
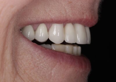
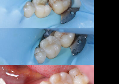
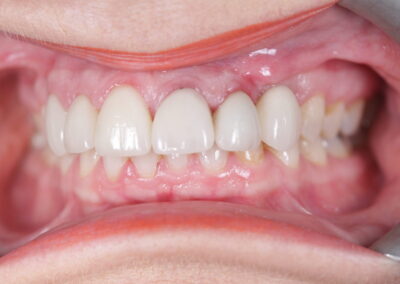
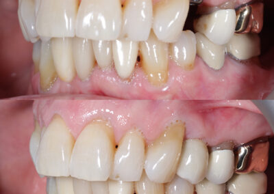
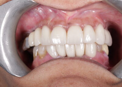
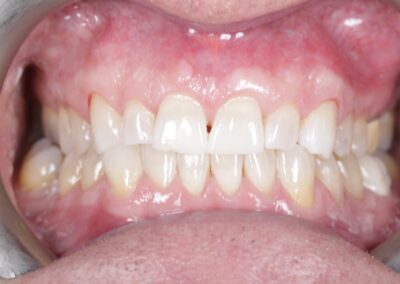
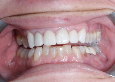
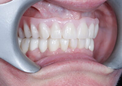
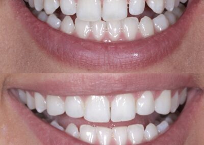
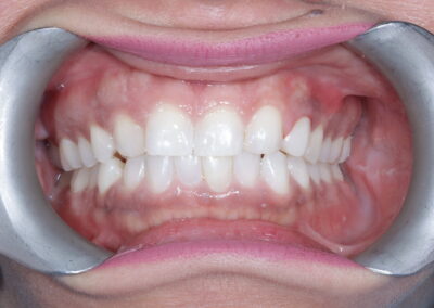
AllCosmetic (Composite) BondingCrowns and BridgesDental AppliancesFull Mouth RehabilitationImplants and SurgicalInvisalign OrthodonticsSmile DesignTooth Coloured FillingsTooth Wear Minimal Composite BondingCosmetic (Composite) Bonding Implants with Bone Grafting and Sinus LiftCrowns and Bridges, Implants and Surgical Removable Cobalt Chrome DenturesDental Appliances Full Mouth Rehabilitation 2Crowns and Bridges, Full Mouth Rehabilitation, Implants and Surgical, Tooth Coloured Fillings Full Mouth RehabilitationCosmetic (Composite) Bonding, Crowns and Bridges, Full Mouth Rehabilitation, Implants and Surgical, Smile Design, Tooth Coloured Fillings, Tooth Wear Full Mouth Rehab with Invis and Upper Full Arch WorkFull Mouth Rehabilitation, Implants and Surgical, Invisalign Orthodontics Tooth WearTooth Wear Anterior BridgeCrowns and Bridges, Smile Design Implants, Crowns, Bridgework, VeneersCrowns and Bridges, Implants and Surgical, Smile Design Invisalign, Composite BondingCosmetic (Composite) Bonding, Invisalign Orthodontics, Smile Design Implant UL3Implants and Surgical Implants, Crowns, Bridge, VeneersCrowns and Bridges, Implants and Surgical, Smile Design Invisalign onlyInvisalign Orthodontics Invisalign and Composite BondingCosmetic (Composite) Bonding, Invisalign Orthodontics, Smile Design Invisalign, Composite Edge Bonding, WhiteningCosmetic (Composite) Bonding, Invisalign Orthodontics, Smile Design Lower Molar Composite FillingTooth Coloured Fillings Composite Edge BondingCosmetic (Composite) Bonding, Smile Design, Tooth Coloured Fillings Simple Implant UL4Implants and Surgical Full Mouth Rehabilitation with Upper Full arch workFull Mouth Rehabilitation, Implants and Surgical Smile Design Anterior 2-2 with composite bonding and crownCosmetic (Composite) Bonding, Crowns and Bridges, Smile Design Crowns and Veneers Anterior 6 teethCrowns and Bridges, Smile Design Simple Molar White FillingTooth Coloured Fillings Simple ImplantImplants and Surgical Invisalign OrthodonticsInvisalign Orthodontics Crowns, Veneers and BridgeworkCrowns and Bridges, Smile Design Composite Filling MolarTooth Coloured Fillings