Full Mouth Rehabilitation

Full Mouth Rehabilitation

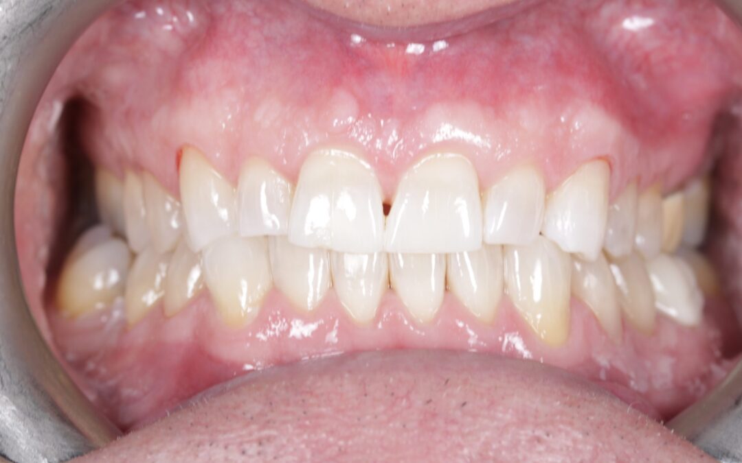
Full Mouth Rehabilitation Case carried out by Dr Harshil Mazny Your content goes here. Edit or remove this text inline or in the module Content settings. You can also style every aspect of this content in the module Design settings and even apply custom CSS to this...
Tooth Wear

Tooth Wear

Tooth Wear Case carried out by Dr Harshil Mazny Your content goes here. Edit or remove this text inline or in the module Content settings. You can also style every aspect of this content in the module Design settings and even apply custom CSS to this text in the...