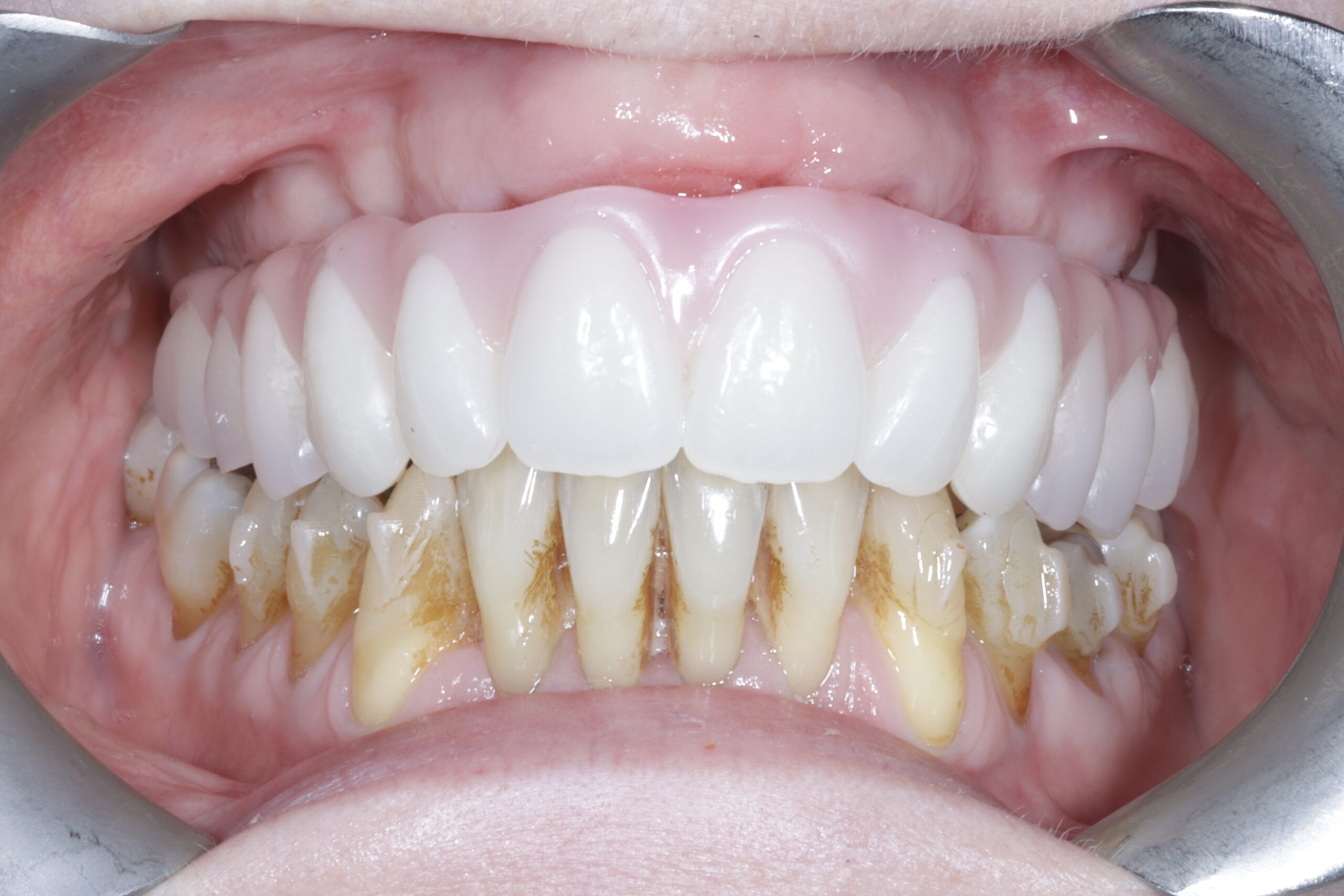
Full Mouth Rehab with Invis and Upper Full Arch Work

Case carried out by Dr Harshil Mazny

Your content goes here. Edit or remove this text inline or in the module Content settings. You can also style every aspect of this content in the module Design settings and even apply custom CSS to this text in the module Advanced settings.

Minimal Composite Bonding

Minimal Composite Bonding

Implants with Bone Grafting and Sinus Lift

Implants with Bone Grafting and Sinus Lift

Full Mouth Rehabilitation 2

Full Mouth Rehabilitation 2

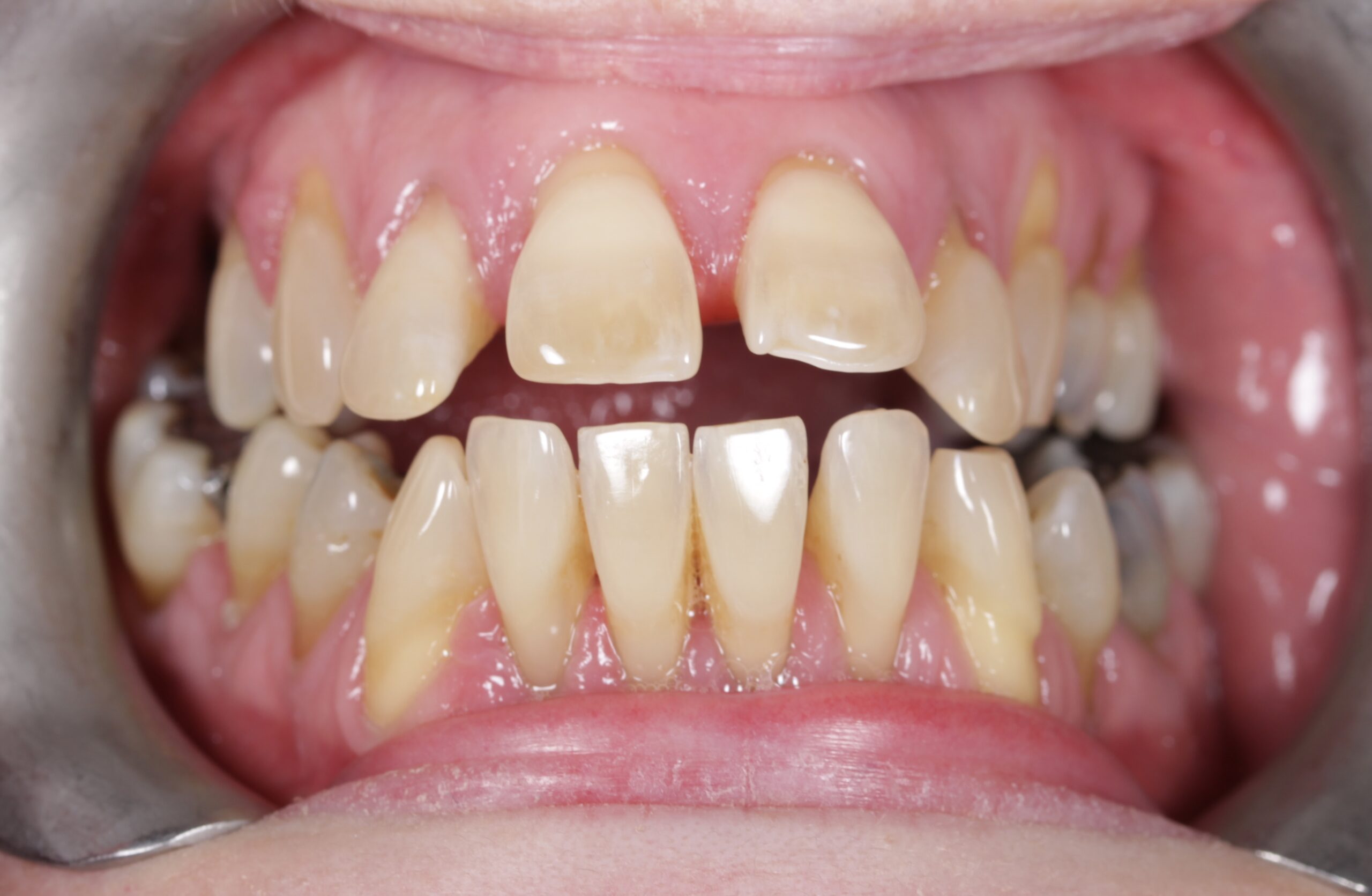
Full Mouth Rehabilitation

Full Mouth Rehabilitation

Full Mouth Rehab with Invis and Upper Full Arch Work

Full Mouth Rehab with Invis and Upper Full Arch Work

Anterior Bridge

Anterior Bridge

Implants, Crowns, Bridgework, Veneers

Implants, Crowns, Bridgework, Veneers

Invisalign, Composite Bonding

Invisalign, Composite Bonding

Implant UL3

Implant UL3

Implants, Crowns, Bridge, Veneers

Implants, Crowns, Bridge, Veneers

Invisalign only

Invisalign only

Invisalign and Composite Bonding

Invisalign and Composite Bonding

Invisalign, Composite Edge Bonding, Whitening

Invisalign, Composite Edge Bonding, Whitening

Lower Molar Composite Filling

Lower Molar Composite Filling

Composite Edge Bonding

Composite Edge Bonding

Simple Implant UL4

Simple Implant UL4

Full Mouth Rehabilitation with Upper Full arch work

Full Mouth Rehabilitation with Upper Full arch work

Smile Design Anterior 2-2 with composite bonding and crown

Smile Design Anterior 2-2 with composite bonding and crown

Crowns and Veneers Anterior 6 teeth

Crowns and Veneers Anterior 6 teeth

Simple Molar White Filling

Simple Molar White Filling

Simple Implant

Simple Implant

Invisalign Orthodontics

Invisalign Orthodontics

Crowns, Veneers and Bridgework

Crowns, Veneers and Bridgework

Composite Filling Molar

Composite Filling Molar

Like What You See?