by mazny@hotmail.co.uk | Jun 21, 2023
Implants, Crowns, Bridge, Veneers Case carried out by Dr Harshil Mazny Your content goes here. Edit or remove this text inline or in the module Content settings. You can also style every aspect of this content in the module Design settings and even apply custom CSS to...
by mazny@hotmail.co.uk | Jun 21, 2023
Smile Design Anterior 2-2 with composite bonding and crown Case carried out by Dr Harshil Mazny Your content goes here. Edit or remove this text inline or in the module Content settings. You can also style every aspect of this content in the module Design settings and...
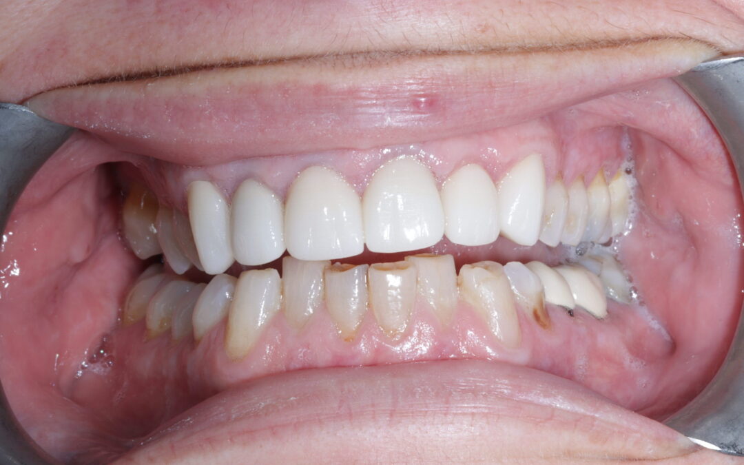
by mazny@hotmail.co.uk | Jun 21, 2023
Crowns and Veneers Anterior 6 teeth Case carried out by Dr Harshil Mazny Your content goes here. Edit or remove this text inline or in the module Content settings. You can also style every aspect of this content in the module Design settings and even apply custom CSS...
by mazny@hotmail.co.uk | Jun 19, 2023
Anterior Crowns, Veneers and Bridgework Case carried out by Dr Harshil Mazny Your content goes here. Edit or remove this text inline or in the module Content settings. You can also style every aspect of this content in the module Design settings and even apply custom...